Η σχέση της νευροεπιστήμης με τον ρατσισμό
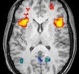
Η συναναστροφή μας με άτομα άλλης εθνικότητας μπορούν να ενεργοποιήσουν…
Η συναναστροφή μας με άτομα άλλης εθνικότητας μπορούν να ενεργοποιήσουν…
Ο διαλογισμός επεκτείνει το συνειδητό μας ορίζοντα Επιστήμονες του πανεπιστημίου…